Restorative Space Closure
United Kingdom

Restorative Space Closure

£714

CPD - 7 Hours

Next Course - 12 Jun 2026

View course dates

Course Overview

This day will focus on all the common issues clinicians face post ortho and where we must also consider risk factors pre orthodontic treatment to comprehensively plan any restorative work and avoid awkward issues at the end of aligner therapy.

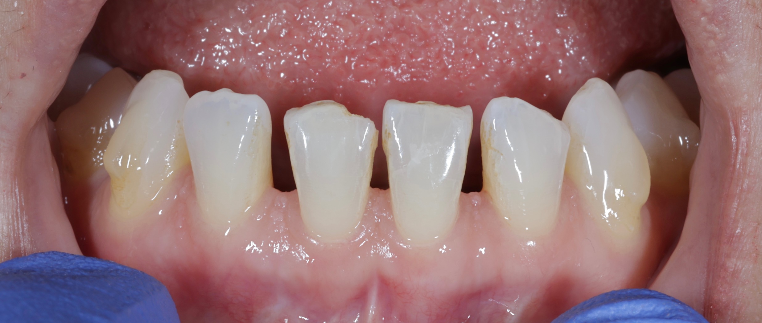
We will look at the causes of black triangles, where they cannot be managed with IPR and where we can utilise novel techniques such as Bioclear semi injection moulding to easily manage these cases with single shade body composite materials. We will also discuss how we can work with a multi disciplinary approach ourselves or between the ortho and restorative clinician for ultimate case control.

For difficulties such as diastemas caused by a Bolton discrepancy or peg laterals, to intervene towards the end of ortho with composite additions and then complete refinements after can successfully avoid many complications compared to finishing ortho and then 'compromising' restoratively alone. We will look at management for these cases with single shade Bioclear composites, minimal prep veneers and also a more modern injection moulding approach.

The hands on will focus on Bioclear semi injection moulding for Black triangles and diastema reductions. We will also look at a predictable shaping and polishing protocol for full composite veneers where indicated for shape changes of triangular teeth or replacing large composite restorations.

What Is The Format Of The Course?

AM
Morning
The morning is mainly theoretical
  • Pre-Orthodontic risk assessment to understand possible Restorative challenges.
  • Treatment planning - learn to think strategically.
  • Diagnosing problem lists
  • Talking to patients about options - Compositve vs Ceramic
  • Black triangles and the Bioclear method (Theory)
PM
Afternoon
Theory & Hands-on
  • Black Triangles and the Bioclear method (Hands-on)
  • Managing mini diastemas mid or post treatment.
  • Managing semi peg laterals. (Hands-on)
  • Understanding Bolton's discrepancies and treating effectively.
  • Full composite veneers - when, how, why?

Course Benefits

  • Treat a wide variety of Space closure cases - when predictive proximal reduction wasn't an option.
  • Successfully treat diastemas after or without Orthodontics.
  • Understand and practice the Bioclear method.
  • Restore 'black triangles' to give patients a beautiful and aesthetic result.
  • Replace large composite restorations with minimal damage.
  • Increase efficiency with ethical injection moulding techniques.
Restorative Space Closure

Upcoming Course Dates

12 Jun 2026
Central Manchester
BOOK NOW - £714
24 Oct 2026
IAS HQ - Surrey, KT14 7LF
BOOK NOW - £714

Meet the Lecturers

Nik Sethi

Nik Sethi

Dr Nik Sethi is a Director at Elevate and the current President of the British Academy of Aesthetic Dentistry (BAAD). This leadership role reflects his dedication to advancing clinical excellence and fostering innovation in modern dentistry.

Nik is passionate about education, mentoring clinicians across the UK and Europe, empowering them to build confidence in advanced techniques, and helping them elevate the quality of care they provide. He holds a Master’s in Aesthetic Dentistry from King’s College London and the prestigious Membership in Advanced General Dental Surgery from the Royal College of Surgeons. In 2019, Nik was recognised as a finalist for Best Young Dentist London at the Private Dentistry Awards, further cementing his status as a leader in the field.

As a Key Opinion Leader for multiple dental companies, he contributes to the development and improvement of dental materials and techniques, helping shape the future of dental practice.

Sanjay Sethi

Sanjay Sethi

Sanjay Sethi qualified from Guy’s Hospital in 1993 with BDS. He is in private practice in London and has a special interest in aesthetics and implants in dentistry.

He has lectured extensively internationally and is a full member and Past President of the British Academy of Aesthetic Dentistry, an active member of the European Academy of Esthetic Dentistry, and a member of the ADI.

Sanjay is involved with teaching independent courses and a diploma programme and is Director of the Aesthetix and Elevate education programmes.